Dental Services At Shree Dental Care
We provide gentle, comprehensive dental treatments in Shyamal, Ahmedabad. Explore our most requested services below.
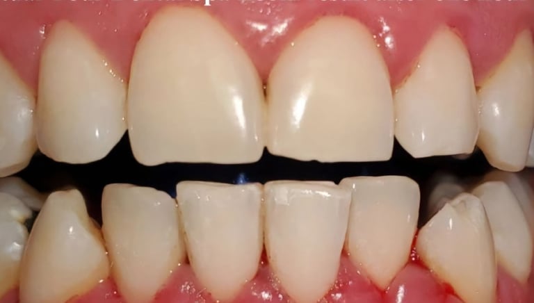
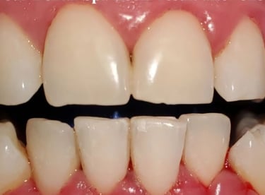
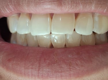
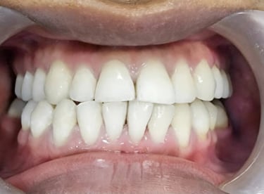
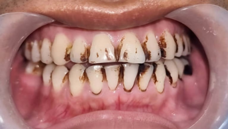
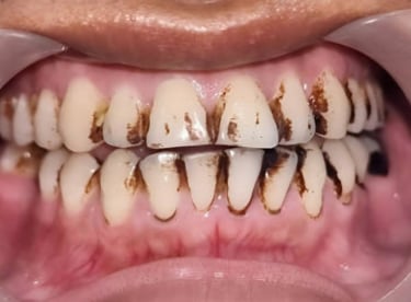
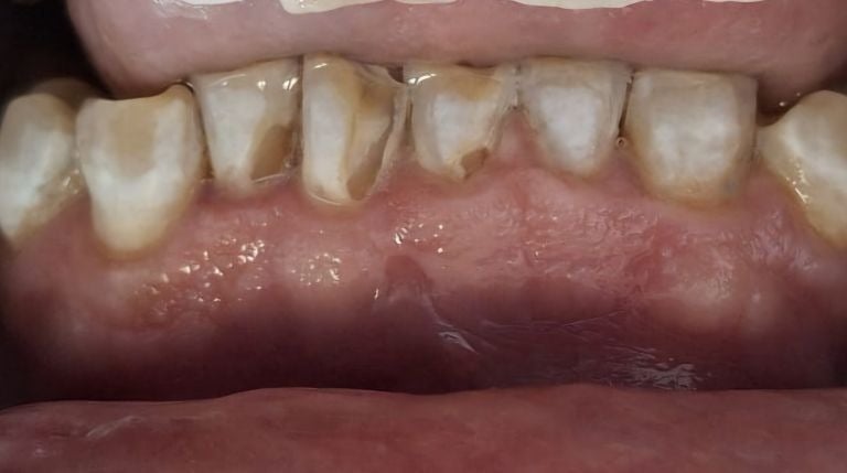
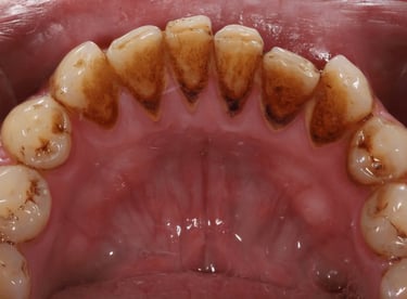
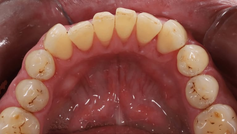
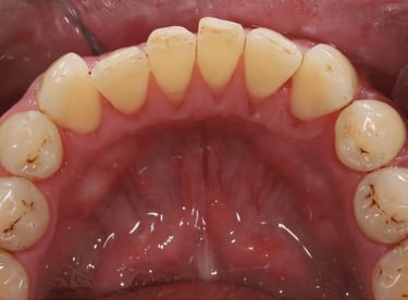
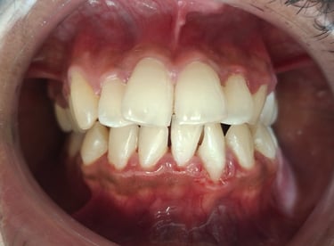
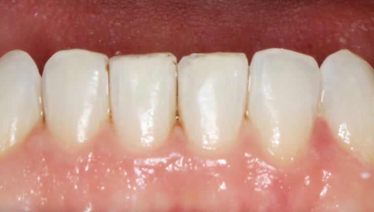
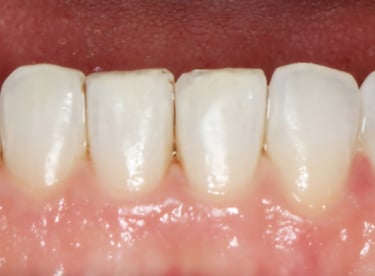
Professional Teeth Cleaning in Shyamal, Ahmedabad
Gentle, properly performed and tailored teeth cleaning for each person giving you comfort, safety and visible results. People from Shyamal and nearby areas of Ahmedabad visit our clinic for comfortable and very effective teeth cleaning.




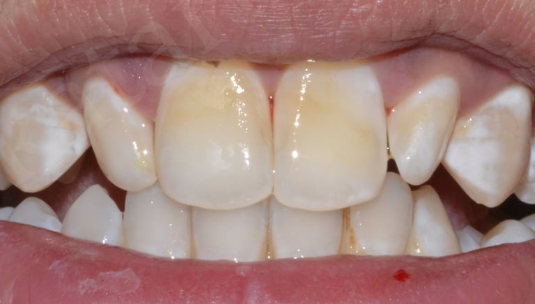
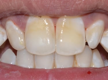
Before
After




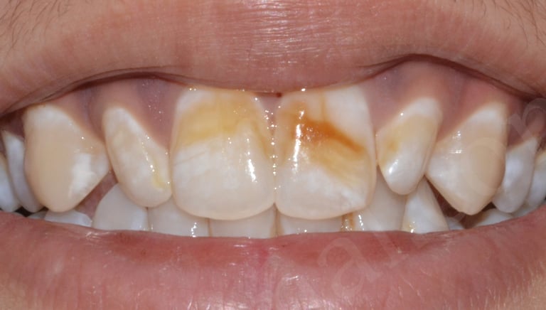
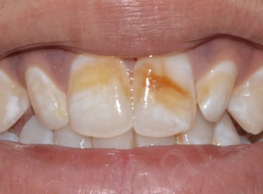
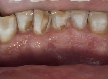
Before
After




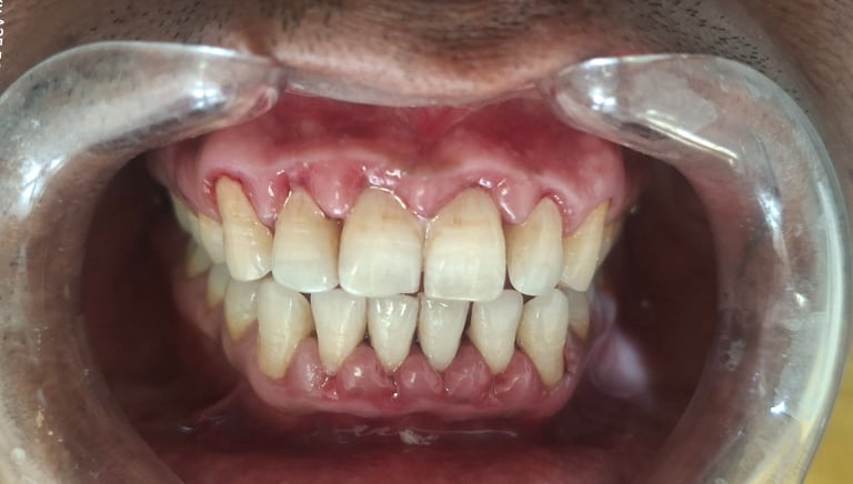
Before
After
After




Before




After
Before
All images shown here are real teeth cleaning cases treated at our clinic with patient consent.
Professional teeth cleaning helps remove plaque, tarter, and surface stains that regular at home brushing can not.
At Shree Dental Care, teeth cleaning is performed gently with focus on patient experience, comfort and long term oral health.
If you are looking for gentle teeth cleaning in Shyamal, Ahmedabad, you can book an appointment with our clinic.
Our dental services in Shyamal Ahmedabad include professional teeth cleaning, teeth whitening, cosmetic fillings, crowns and general dentistry. Patients choose Shree Dental Care for gentle treatment, visible results and long-term oral health.
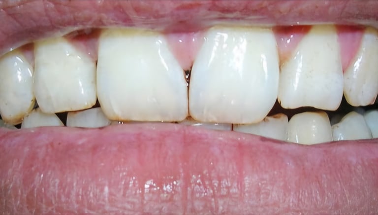
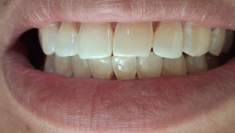
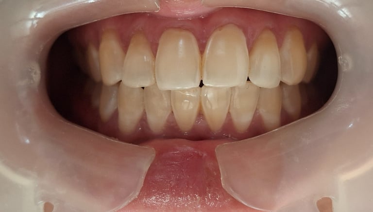
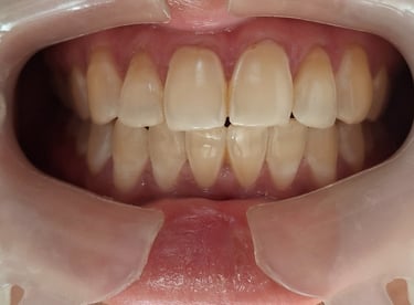
Safe and Effective Teeth Whitening in Shyamal, Ahmedabad
Gentle and professionally supervised teeth whitening designed to safely brighten your natural smile. Our whitening treatment helps remove stains caused by tea, coffee, tobacco, and ageing, giving visible results without harming your teeth. Patients from Shyamal and nearby areas of Ahmedabad choose our clinic for comfortable, controlled, and effective teeth whitening care.




Before
After




Before
After




Before
After
After




Before




After
Before
All images shown here are real teeth whitening cases treated at our clinic with patient consent.
Professional teeth whitening helps remove deep stains caused by tea, coffee, tobacco and natural tooth discoloration, resulting in a visibly brighter and more confident smile.
At Shree Dental Care, teeth whitening is performed using safe, clinically approved methods with a focus on comfort, even shade improvement and protection of tooth enamel and gums.
If you are looking for safe and effective teeth whitening in Shyamal, Ahmedabad,you can book an appointment with our clinic.
Our dental services in Shyamal Ahmedabad include professional teeth cleaning, teeth whitening, cosmetic fillings, crowns and general dentistry. Patients choose Shree Dental Care for gentle treatment, visible results and long-term oral health.
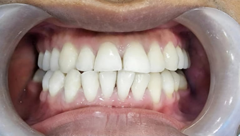
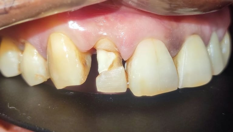
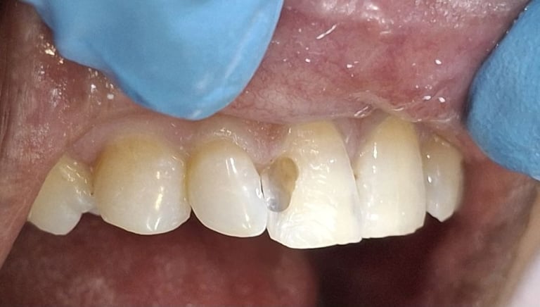
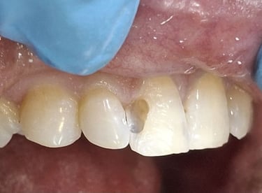
Tooth Colored Filling in Shyamal, Ahmedabad
Tooth-colored fillings are used to restore decayed or broken teeth while maintaining a natural appearance. These fillings blend seamlessly with your tooth color and help preserve your smile.




Before
After




Before
After




Before
After
After




Before




After
Before
All images shown here are real tooth colored filling cases treated at our clinic with patient consent.
At Shree Dental Care, cosmetic fillings are placed carefully with a focus on comfort, precision and long-term durability. We ensure minimal tooth cutting and natural-looking results.
If you are looking for aesthetic tooth colored filling in Shyamal, Ahmedabad, you can book an appointment with our clinic.
Our dental services in Shyamal Ahmedabad include professional teeth cleaning, teeth whitening, cosmetic fillings, crowns and general dentistry. Patients choose Shree Dental Care for gentle treatment, visible results and long-term oral health.
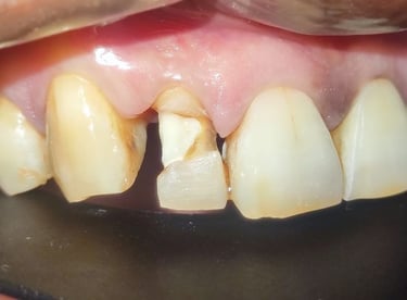
Root Canal Treatment near Shyamal, Ahmedabad




Before
After




Before
After




Before
After
After




Before




After
Before
All images shown here represent real clinical cases treated at our dental clinic with patient consent.
Our dental services in Shyamal Ahmedabad include professional teeth cleaning, teeth whitening, cosmetic fillings, crowns and general dentistry. Patients choose Shree Dental Care for gentle treatment, visible results and long-term oral health.
At Shree Dental Care, we focus on gentle, precise, and well-planned root canal treatment to remove infection, relieve pain, and preserve your natural tooth structure.
Patients from Shyamal and nearby areas of Ahmedabad visit our clinic for comfortable root canal procedures carried out using modern techniques and strict hygiene protocols. The treatment helps eliminate infection from inside the tooth, prevents further damage, and restores normal chewing function.
Tooth-saving procedure
Comfortable approach
Suitable for front and back teeth




Before
After




Before
After




Before
After
After




Before




After
Before
All images shown here represent real clinical cases treated at our dental clinic with patient consent. If you are experiencing multiple dental issues or difficulty in chewing, book a consultation to understand whether full mouth rehabilitation is right for you.
Our dental services in Shyamal Ahmedabad include professional teeth cleaning, teeth whitening, cosmetic fillings, crowns and general dentistry. Patients choose Shree Dental Care for gentle treatment, visible results and long-term oral health.
Transform your smile. Restore your confidence.
A smile makeover is a customized dental treatment designed to improve the appearance, comfort, and function of your teeth. At Shree Dental Care, we combine advanced dental technology with an artistic approach to create natural-looking, confident smiles.
Whether you have stained, chipped, uneven, or missing teeth, our smile makeover treatments are planned to match your face, personality, and lifestyle — not just your teeth.
What a Smile Makeover Can Fix
Discolored or stained teeth
Broken, chipped, or worn teeth
Gaps between teeth
Uneven or misaligned smile
Old or damaged dental work.
Restores chewing comfort and bite balance
Improves smile aesthetics and facial support
Long-term solution for multiple problems
Planned carefully for age, health, and budget
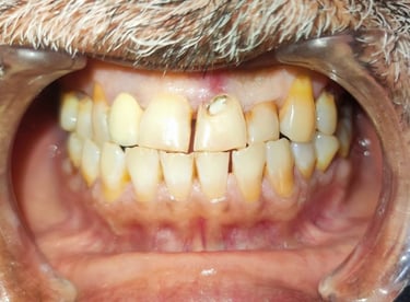
Complete Smile Makeover- Teeth Replacement and Restoration
Teeth Extraction




After




Before
After




Before
After
After




Before




After
Before
All images shown here represent real clinical cases of teeth extractions done at our dental clinic with patient consent.
Our dental services in Shyamal Ahmedabad include professional teeth cleaning, teeth whitening, cosmetic fillings, crowns and bridges, teeth extractions and general dentistry. Patients choose Shree Dental Care for gentle treatment, visible results and long-term oral health.
Tooth extraction is performed when a tooth is severely damaged, infected, or cannot be saved through other dental treatments. At Shree Dental Care, we carry out tooth extractions using gentle techniques to ensure minimal discomfort and faster healing.
Patients from Shyamal and nearby areas of Ahmedabad visit our clinic for comfortable teeth extractions carried out using modern techniques and strict hygiene protocols.
At Shree Dental Care, we ensure:
Thorough clinical examination and digital X-rays.
Gentle and painless extraction techniques.
Proper anesthesia for patient comfort.
Post-extraction care instructions for fast healing.
Our goal is to make the procedure as smooth and stress-free as possible.
Recently Done Cases




Before
After




Before
After




Before
After
After




Before




After
Before
All images shown here represent real clinical cases treated at our dental clinic with patient consent.
Our dental services in Shyamal Ahmedabad include professional teeth cleaning, teeth whitening, cosmetic fillings, crowns and general dentistry. Patients choose Shree Dental Care for gentle treatment, visible results and long-term oral health.
At Shree Dental Care, we focus on gentle, precise, and well-planned treatment to remove infection, relieve pain, and preserve your natural tooth structure.
This section shows different types of cases done recently at our clinic showing you how the situation was before and how final results look afterwards treatment at our clinic.
Tooth-saving procedure
Comfortable approach
Suitable for front and back teeth
General Dentistry




Before
After




Before
After




Before
After
After




Before




After
Before
All images shown here represent real clinical cases treated at our dental clinic with patient consent.
Our dental services in Shyamal Ahmedabad include professional teeth cleaning, teeth whitening, cosmetic fillings, crowns and general dentistry. Patients choose Shree Dental Care for gentle treatment, visible results and long-term oral health.
At Shree Dental Care, we focus on gentle, precise, and well-planned root canal treatment to remove infection, relieve pain, and preserve your natural tooth structure.
Patients from Shyamal and nearby areas of Ahmedabad visit our clinic for comfortable root canal procedures carried out using modern techniques and strict hygiene protocols. The treatment helps eliminate infection from inside the tooth, prevents further damage, and restores normal chewing function.
Tooth-saving procedure
Comfortable approach
Suitable for front and back teeth
We are located at:
SHREE DENTAL CARE 202, retail 1, Sun Gravitas
Connect
© 2025. All rights reserved.
Next to Shyamal Jivraj overbridge. Near Shyamal crossroads. Satellite. Ahmedabad. Gujrat.
TIMINGS: 9:00 AM TO 20:00 pm weekdays. sunday by appointment
